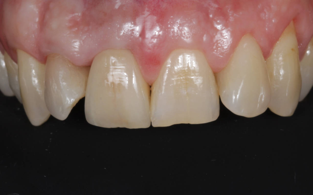
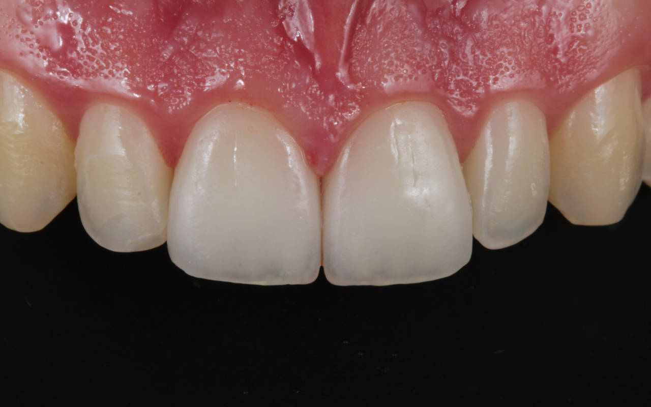
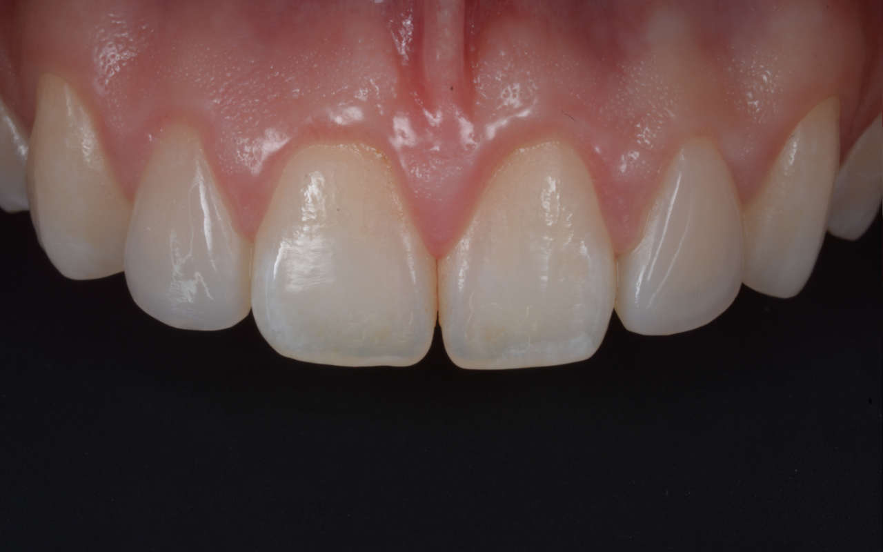
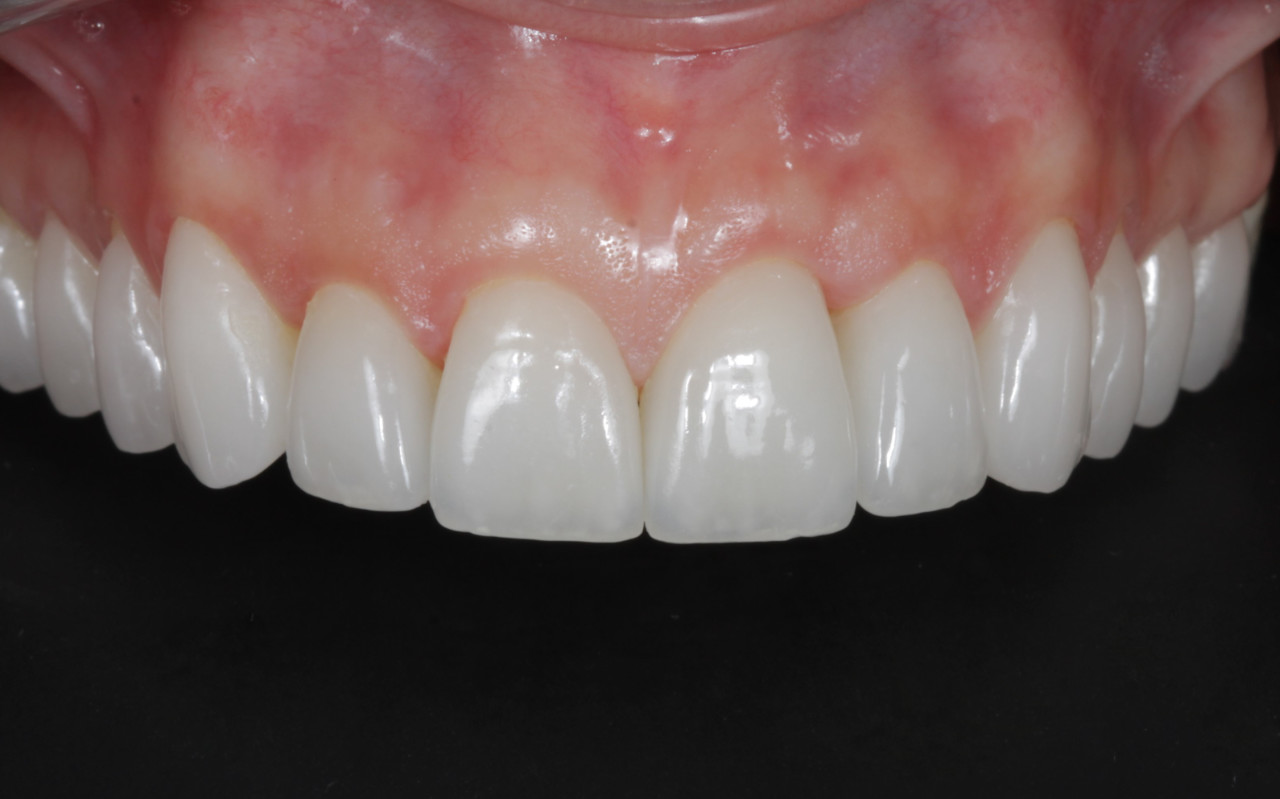
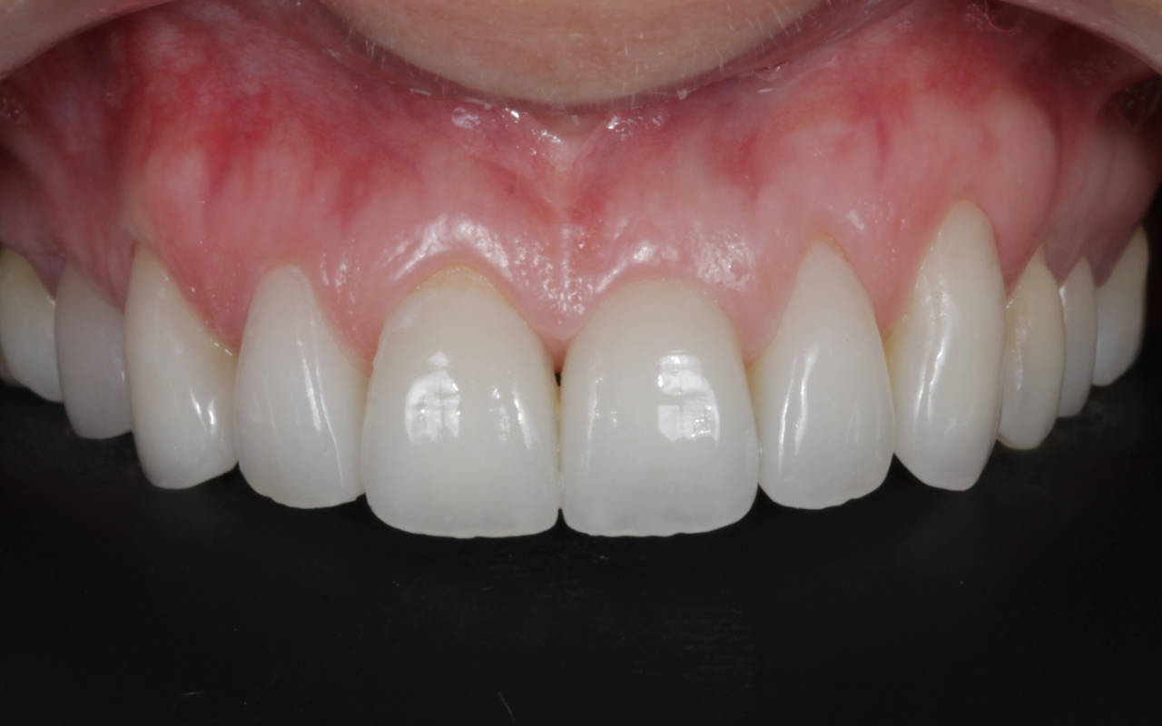
Casos clínicos Branqueamentos Facetas Ortodontia Periodontologia Reabilitação Oral Dentisteria estetica