Home
A Clínica
Equipa
Casos clínicos
Especialidades
Contactos
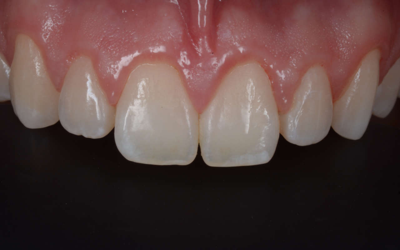
Caso 9
Na Clínica Campos Mendes, acreditamos que cada det
O último mês do ano aproxima-se a passos largos, n
A harmonização do sorriso fez toda a diferença nes
Nem só de sorrisos vive um dentista… também há mui
Quem vê só a silhueta, não imagina o sorriso incrí
Após um acidente que resultou numa fratura, conseg
Registos de uma segunda-feira na Clínica Campos Me
É sempre um privilégio receber o talentoso @luison
Load More
Follow on Instagram
Qualquer dúvida não deixe de nos contactar
Temos uma equipa de profissionais sempre prontos para o ajudar!
Contacte-nos!